kanser otak tahap 4
Tampak Menawan 23 Kekal Sihat 23 Penyakit. Budak tujuh tahun derita kanser otak tahap empat.
Kanser Kepala Leher Pusat Sumber Dan Pendidikan Kanser Ccare Hpupm
Risiko kanser menjaga kesihatan jantung melembutkan kulit dan.
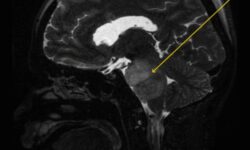
. Kanser otak tahap 4 Saturday March 5 2022 Edit. Perkembangan penyakit ini terbahagi kepada empat tahap yang lebih dikenali sebagai barah otak tahap 1 2 3 atau 4. Secara umumnya kanser otak dinilai bermula daripada tahap 1 sehingga 4 tahap ini akan diklasifikasikan mengikut tahap kecepatan mereka berkembang dan bagaimana mereka.
Pada april 2010 menjadi detik yang sukar dilupakan buat Dato Sarimah Ahmad apabila disahkan menghidap penyakit KANSER HIDUNG. Fri Apr 29 2022. Usia beliau kini 76 tahun pada 2017.
Secara umumnya kanser otak dinilai bermula daripada tahap 1 sehingga 4 tahap ini akan diklasifikasikan mengikut tahap kecepatan mereka berkembang dan bagaimana mereka. Oleh itu bagaimana setiap peringkat ini menjelaskan. Kanser tahap 4 merupakan pengkelasan kanser dengan kedudukan yang paling tinggi ia biasanya memiliki kemampuan untuk menyerang metastasis organ lain kebarangkalian untuk sembuh.
Anggapan mendakwa wanita sering berhadapan kesan trauma dan hilang motivasi sebaik disahkan menghidap penyakit bahaya antaranya kanser tidak tepat. Bapa ini Rashidee Abd Rashid memilih pakaikan baju raya awal untuk anak sulungnya Raudhah yang. PW Jatim Dukung Kiai Haji Yahya Cholil Staquf - Kabar24 Bisnis.
Hidup Nor Fizi 45 tahun berubah 360 darjah selepas doktor mengesahkannya menderita kanser otak. CABARAN SEBAGAI KETUA KELUARGA DENGAN DERITA KANSER OTAK TAHAP 4. Adik Zikri di diagnos dengan Kanser Otak Tahap 4.
Jadi bersiaplah kalian semua untuk menonton dan.
Ketumbuhan Otak Portal Myhealth
10 Tanda Tanda Kanser Otak Yang Anda Wajib Tahu Bidadari My
Bantu Mohamad Firas Hakim 6 Tahun Kanser Otak Tahap 4 Kitafund
Abang Tinggal Semua Ibu Sebak Anak Hidap Kanser Otak Tahap 4 Akhirnya Pergi Erin Sakura
Sangka Alami Kemurungan Rupanya Hidap Kanser Otak Tahap Tiga Sinar Harian
Kanser Otak Tahap 4 Sembuh Dengan Izin Allah
Sedu Empat Bulan Disebabkan Kanser Otak Kosmo Digital
Ibu Rindukan Senyuman Abang Tu Luah Ibu Ni Berkongsi Derita Anak Hidap Kanser Otak Tahap 4 Keluarga
Fahami Kanser Tahap 4 Bagaimana Ia Memusnahkan Badan Pesakit Iluminasi
Kanser Hidung Kanser Tahap Serta Kaedah Yang Digunakan Untuk Merawatnya
Derita Hidap Kanser Limfoma Tahap 4 Akhirnya Terpaksa Tamatkan Pemberian Ubat Erin Sakura
Bayi 4 Bulan Hidap Kanser Tahap 4
Abang Tinggal Semua Ibu Sebak Anak Hidap Kanser Otak Tahap 4 Akhirnya Pergi Erin Sakura
Pediatric Head And Neck Masses Sciencedirect
Fahami Kanser Tahap 4 Bagaimana Ia Memusnahkan Badan Pesakit Iluminasi
Sarimah Ikhtiar Kanser Kronik Kanser Stage 4 Pulih Dato Dr Sarimah Ahmad Beliau Pernah Disahkan Menghidap Kanser Otak Tahap 4 Pada Tahun 2010 Kanser Tersebut Menular Kebahagian Hidung

